Improving life after brain injury Need to talk? 0808 800 2244

Join
Home About brain injury Further information Research Reduced conscious states

Functional brain imagi...

Functional brain imaging may predict potential for recovery, says new research Main Image

Functional brain imaging may predict potential for recovery, says new research

Thu 17 Apr 2014

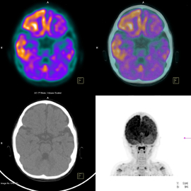
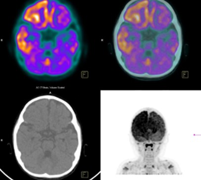
This four-year study involving 126 patients from across Europe compared two functional imaging techniques, PET and functional MRI (fMRI), with a well-established test, the Coma Recovery Scale-Revised (CRS-R)

Assessing the level of awareness in patients who are in a reduced state of consciousness is a difficult but important challenge for clinicians. Decisions regarding treatment are affected by the level of awareness they show; those in a minimally conscious state (MCS) show some awareness and a response to stimuli, whereas those in a vegetative state (VS) do not. Whereas both conditions indicate a very severe brain injury, the potential for further recovery may be greater in patients who are not in a VS, and some treatment and rehabilitation may be appropriate for those who display an awareness of their surroundings.

This four-year study involving 126 patients from across Europe compared two functional imaging techniques, PET and functional MRI (fMRI), with a well-established test, the Coma Recovery Scale-Revised (CRS-R). It demonstrated that repeated testing with CRS-R and a PET scan using a specific imaging agent was about 74% accurate in predicting the extent of recovery within a year, compared with 56% for fMRI.

During the study, the PET scanning technique showed brain activity consistent with some level of consciousness in a third of the 36 patients who were diagnosed as unresponsive on the CRS-R test. This led the authors to conclude that CRS-R alone is not a reliable way of assessing consciousness, and supplementing it with this PET scan can lead to much more accurate results.

Echoing the comments of the researchers, Peter McCabe, Chief Executive of Headway, said: "This study highlights the weakness of current diagnostic techniques used in isolation, and provides doctors with a new way of accurately assessing patients with a severe brain injury. Given the importance of this diagnosis for patients and family members, this can only be welcomed.

"However, as the authors point out this research was conducted in a well-equipped specialist unit and may be difficult to apply in less specialist centres. We know that standard tests such as CRS-R are currently not carried out or repeated where appropriate, so there may be difficulties with adding a scan that is currently expensive and unavailable in many parts of the UK.

"In addition, this research raises important ethical considerations about the best treatment for those who are in a reduced state of consciousness. Doctors may need to make very difficult decisions based on the outcomes of these tests, and families need support and guidance during this time.

"As this study concludes, further research is needed into this technique. In the mean time all patients should receive the CSR-R or equivalent assessment where appropriate and family members of patients in coma, VS or MCS should regularly discuss treatment and assessment options with the medical team."

Professor Celia Kitzinger, Co-Director of the York-Cardiff Chronic Disorders of Consciousness Research Centre, welcomed the research while highlighting the ethical concerns.

"The findings of this research could be useful if they enable identification of people who may be having some experience, such as pain, and if this leads to better care and treatment for them," said Celia. "However, the risk is to equate partial or fragmented minimal consciousness with a person's presumed wish to receive life-prolonging treatment, whether in hope of recovering full consciousness or not.

"Some research has shown that a state of minimal consciousness is viewed as worse than a vegetative state by many people, and individuals vary in the extent to which they would want to receive life-prolonging treatment. We need to avoid a simplistic view that consciousness is always good for a person, and that life-prolonging treatments should always be continued."

Back

Share this page

Headway - the brain injury association is registered with the Charity Commission for England and Wales (Charity no. 1025852) and the Office of the Scottish Regulator (Charity no. SC 039992). Headway is a company limited by guarantee, registered in England no. 2346893.

© Copyright Headway 2026  -  Site designed and developed by MEDIAmaker