Improving life after brain injury Need to talk? 0808 800 2244

Join
Home News and campaigns News

Head injury patients d...

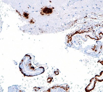
Head injury patients develop brain clumps associated with Alzheimer’s disease Main Image

Head injury patients develop brain clumps associated with Alzheimer’s disease

Thu 04 Feb 2016

Scientists from Imperial College London have revealed that protein clumps associated with Alzheimer's disease are also found in the brains of people who have had a head injury.

Although previous research has shown that these clumps, called amyloid plaques, are present shortly after a brain injury – this study, published in the journal Neurology, shows the plaques are still present over a decade after the injury.

Dr Gregory Scott, the lead author of the paper, said: “Although previous research has shown that some head injury patients have these amyloid plaques shortly after the incident, these findings suggest these plaques are still present in the brains of patients over 10 years later.

“This helps shed light on why brain injury patients seem to be at increased risk of dementia – and may help Hus develop treatments that reduce this risk.

"This is a preliminary study, and it’s important to stress that these head injury patients didn’t have Alzheimer’s disease. However it supports the idea that the window of treatment for brain injury is potentially months or even years after the initial event. If we can find out exactly what processes are going on in the brain, it may be that we can intervene and improve long-term outcomes for patients.

"The works also highlights how damaging brain injury can be – and fuels the public health debate about what we can do to protect ourselves against head injuries."

Peter McCabe, Chief Executive of Headway, said: “This interesting research would seem to strengthen the medical consensus that head trauma, or more specifically traumatic brain injury, can increase a person’s susceptibility to degenerative neurological conditions such as Alzheimer’s.

“While the researchers recognise that further work is needed in this area, it would appear to be an important development that strengthens the case for people living with the long-term effects of traumatic brain injury to receive community-based rehabilitation and support once they leave acute care.

“It would also seem to correspond to the recent research regarding Chronic Traumatic Encephalopathy (CTE), which has identified that repeated concussions, such as those suffered by boxers and other sportsmen, can lead to similar deterioration of the brain.

“Any research that assist in helping people to rebuild their lives following brain injury, while reducing its prevalence, has to be welcomed.”

Back

Share this page

Headway - the brain injury association is registered with the Charity Commission for England and Wales (Charity no. 1025852) and the Office of the Scottish Regulator (Charity no. SC 039992). Headway is a company limited by guarantee, registered in England no. 2346893.

© Copyright Headway 2026  -  Site designed and developed by MEDIAmaker